直後から腫れもほとんど無く、自然に仕上がり満足されています
二重術・目頭切開・涙袋・眼瞼下垂 二重
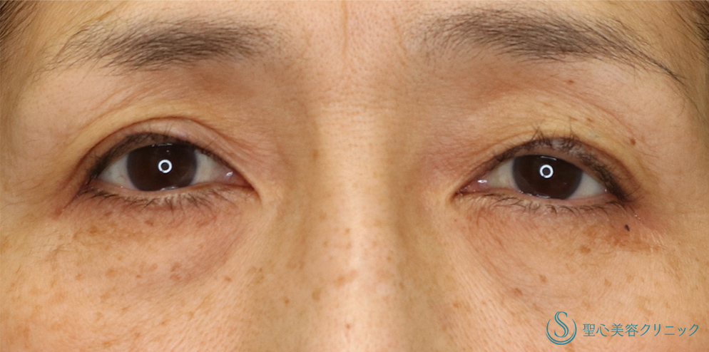
20代 /
女性
- 施術内容
-
二重術(埋没法/マイクロメソッド+α)
腫れが少ない方法で浅い奥二重から二重にしたいとのご希望で、二重埋没法マイクロメソッドを行いました。
マイクロメソッド+αの特徴は、腫れにくさを極限まで抑え、細い特殊な糸で結び目を目立たないことです。そのため、忙しくお休みがなかなか取れない方や、周囲にばれたくない方にも手軽にお受けいただけます。
3日後の状態です。直後から腫れもほとんど無く、自然に仕上がり満足されています。下のほうに直後の腫れの状態との比較画像がありますのでご参照ください。
診療医長兼 大阪院 副院長
大井 弘一 医師

マイクロメソッド+α
| 処置方法 |
ブジーシミュレーションした希望のラインに沿って、特殊な専用の極細糸で数点で固定し、重瞼を作成する。 |
| リスク・副作用 |
術後の腫れ、痛み、内出血、左右差、後戻り、シスト形成、異物感、ドライアイ症状、眼瞼痙攣。 |
| 費用 |
165,000円 |
合計金額/165,000円(181,500円)
※()内は税込みの金額です。
※料金、リスク・副作用、施術内容は登録時点での情報となります。最新の情報はクリニックへお問い合わせください。
「二重術(埋没法/マイクロメソッド+α)」を
もっと知りたい方はこちら