症例写真

症例写真

上まぶたの弛み取り

目のクマ・くぼみ・たるみ たるみ(目の上) 40代 / 男性
施術内容
眉下リフト(眉下切開法)

一重のままの状態で、上まぶたの弛みを取り除きたいというご希望でした。眉毛の下側ギリギリの部分で余分な皮膚を取り除く“眉下切開”を行いました。
眉下切開法(眉下リフト)は、目元の自然な印象は変えずに、上まぶたのたるみを改善する施術です。二重ライン上の皮膚の厚みを軽減することができるため、加齢とともに二重ラインが狭くなってきた方や、20~30代の方でも、上まぶたの腫れぼったさが気になっている方には特に適した方法です。手術では、眉下のラインに沿って切開するため、傷跡が眉毛に隠れて目立ちにくいことが特長です。

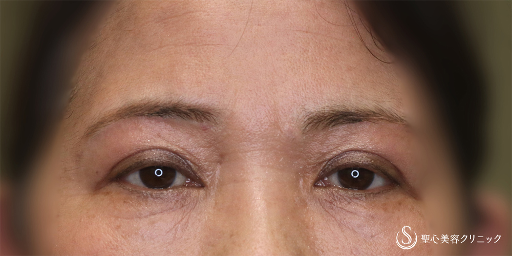
症例写真 術前 目のくま・くぼみ・たるみ・眼瞼下垂
Before
症例写真 術後 目のくま・くぼみ・たるみ・眼瞼下垂
4ヶ月後
傷は白くなって、写真上ほとんど分かりません。また目尻のたるみによる三角形型のまぶたががアーモンド形になって若々しくなりましたね。
診療医長兼 大阪院 副院長
診療医長兼 大阪院 副院長
大井 弘一 医師

眉下リフト(眉下切開法)

処置方法 デザインに沿って皮膚切除。場合によって眼輪筋切除や、皮下剥離などの処理を行なう。非吸収糸で形態を調節しながら皮下、皮膚を縫合する。
リスク・副作用 術後の浮腫、痛み、内出血、血腫、シスト形成、肥厚性瘢痕、眉毛変形、引き攣れ、閉瞼障害、二重の消失、変形。
費用 300,000円

合計金額/300,000円(330,000円)

※()内は税込みの金額です。

※料金、リスク・副作用、施術内容は登録時点での情報となります。最新の情報はクリニックへお問い合わせください。

「眉下リフト(眉下切開法)」を
もっと知りたい方はこちら